Câu chuyện khách hàng

Nha Khoa Phú Nhuận - Trường Hải
×
Liên hệ hotline Liên hệ hotline

 

 

Hotline: 0909645929 - 0377283900
Câu chuyện khách hàng

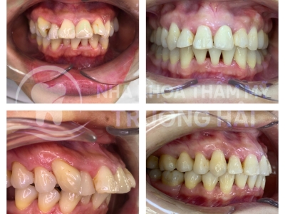
Vi

Vi

Ngày đăng: 25/08/2023 04:00 PM

Trẻ em có các sai lệch về xương hàm và răng như hô xương, móm xương, hàm nhỏ hẹp, răng chen chúc khấp khểnh nên được bắt đầu điều trị niềng răng đúng thời điểm trong giai đoạn trẻ thay răng từ 6 – 12 tuổi. Bắt đầu điều trị ở giai đoạn này cũng phù hợp với kế hoạch du học của các con, niềng răng xong là vừa đẹp bước vào tuổi đi du học, tự tin khám phá và phát triển bản thân. Trường Hải luôn cố gắng thực hành điều trị để mang lại nhiều nụ cười trẻ thơ khỏe mạnh, xinh đẹp. Từ chẩn đoán đúng, lên kế hoạch chỉnh nha an toàn phù hợp và tối ưu, theo sát điều trị, tâm lý với trẻ và đảm bảo kết quả thành công toàn diện, ổn định lâu bền.
Xem chi tiết

Bạch Tuyết

Bạch Tuyết

Ngày đăng: 14/06/2024 03:38 PM

“Có nụ cười mới đẹp quá, mình quên răng cũ của mình như thế nào luôn. Lúc kết thúc điều trị Bác sĩ mở lại mà hết hồn. Mình rất vui vì răng đều mà không hề nhổ răng. Đúng là không uổng công đi lại từ Cần Thơ lên Sài Gòn để niềng răng. Rất cảm ơn Trường Hải đã giúp mình có nụ cười đẹp và khỏe mạnh như thế này”
Xem chi tiết

Thanh Thảo

Thanh Thảo

Ngày đăng: 25/06/2024 03:32 PM

Sau thời gian 2 năm niềng răng, sự kiên trì và nghiêm túc đã giúp cô gái nhận lại kết quả xinh đẹp và rạng ngời ngày hôm nay: Không còn nét hô, miệng cười xinh, gương mặt cân đối, góc nghiêng xinh xắn. Thanh Thảo trở nên xinh đẹp với khuôn mặt thanh tú và khuôn miệng cười duyên dáng hơn rất nhiều. Thay đổi từ hành trình niềng răng đã giúp cô gái lấy lại sự tin tin, cười nhiều hơn và đón nhiều cơ hội hơn trong thời gian tới.
Xem chi tiết
Zalo
Hotline